老年膝关节疼痛都是骨头磨损了吗?小心是骨头自己坏了
来源: ky 发布时间: 2024-10-25 17:05:00 浏览量:
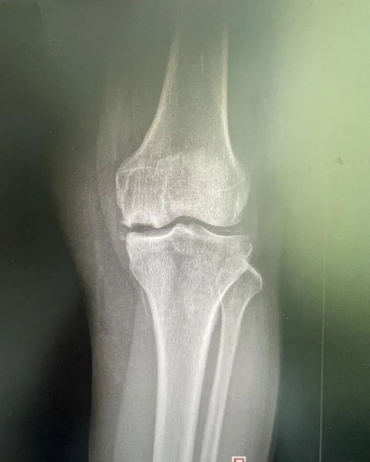
膝关节疼痛背后的真相 术前检查片 老年膝关节疼痛通常被认为是由于骨头磨损所致,但实际情况可能更为复杂。例如,73岁的梁大姐就经历了这种痛苦。她的症状包括走路困难、关节肿胀和持续的疼痛。经过详细的检查和诊断,医生发现梁大姐患有膝关节内侧自发性骨坏死,这是一种不常见的疾病。这种病症涉及到软骨的退变、软骨下骨的水肿以及骨头的坏死,这些因素共同导致了剧烈的疼痛。 单髁置换术——治疗新选择 针对梁大姐的情况,ky骨科一区的许国胜主任提出了三种手术方法:关节镜手术、全膝关节置换术和单髁置换术。考虑到创伤大小、术后恢复速度和功能恢复等因素,最终选择了单髁置换术。这种手术仅更换受坏死影响的内侧间室骨头,同时保留了外侧间室、髌股关节和交叉韧带的正常功能。与传统全膝关节置换相比,单髁置换具有创伤小、疼痛轻、恢复快等优点。 术后效果与快速康复 梁大姐在接受了内侧单髁置换术后,第二天就能下地走路,并在术后第三天出院回家。一个月后复查时,她的左膝关节内侧疼痛症状完全消失,关节活动自如。这一案例证明了单髁置换术的有效性。此外,该手术在国外已有超过30年的历史,在国内外也有超过15年的应用时间,技术成熟且效果稳定可靠。对于早期病变的患者来说,单髁置换术不仅能明显改善生活质量,还能延缓全膝置换的时间。





