LATTICE技术让巨大肿瘤治疗更精准
来源: ky 发布时间: 2024-11-14 18:02:23 浏览量:
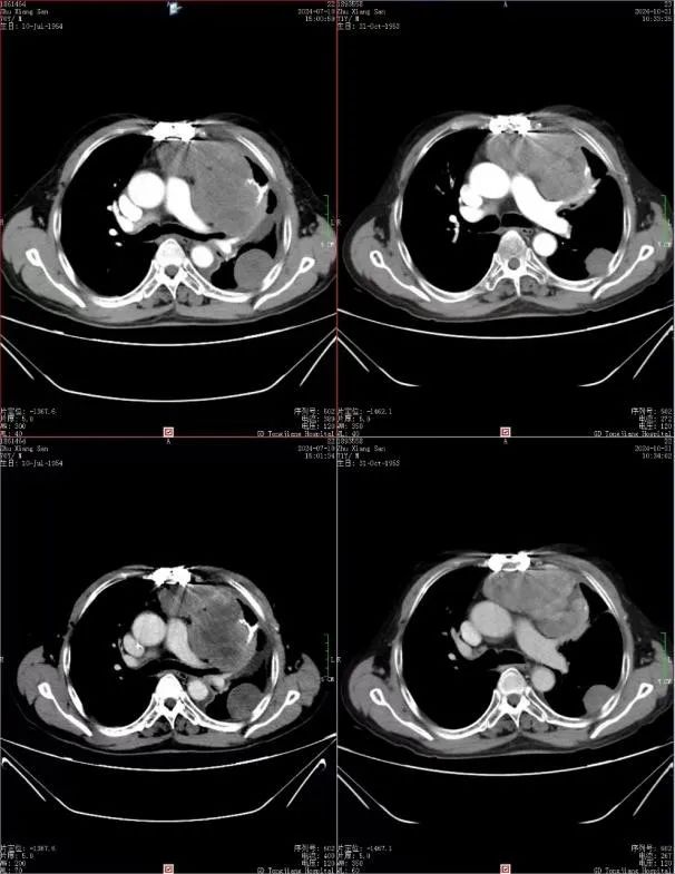
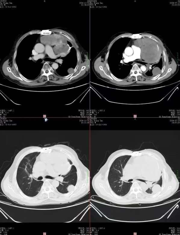
01 朱先生是一位与肺恶性肿瘤抗争多年的勇士。自确诊以来,他经历了多次复发和反复手术。2021年3月,胸部CT揭示了左下胸腔的占位性病变,随后的肺肿物切除术和化疗未能阻止病情的进展。2023年,局部复发再次降临,尽管再次手术和化疗,顽固的低血糖和双下肢浮肿等问题仍旧困扰着他。2024年6月,胸部CT显示肿瘤进展,胸膜心包膜受累,7月症状加重,他带着朋友的推荐来到我院寻求帮助。 AUTUMN 在朱先生的治疗旅程中,我们深刻理解他的痛苦与焦虑,并承担起责任。我们的专家团队为他量身定制了治疗方案:首先采用LATTICE技术精确打击肿瘤,结合替莫唑胺化疗、培唑帕尼抗血管治疗及激素压制的综合治疗方案。经过6次LATTICE治疗后,朱先生的病情得到了显著改善——肿瘤缩小,血糖稳定在正常水平,生活质量大幅提升。如今他已出院两月有余,享受着与家人共度的美好时光。这一成功案例是ky多学科会诊模式下,精准放疗中心和肿瘤科技术团队紧密合作的结果 探索革命性的LATTICE技术 LATTICE技术,即空间分割放射治疗技术,以其在肿瘤内部创造不均等剂量分布的原理,为肿瘤治疗领域带来新突破。这种先进的放射疗法特别适用于大肿块(任何尺寸≥5 cm)和放射抗性肿瘤,展现出其独特的优势:高剂量区精准定位于肿瘤内部,同时最大程度保护正常组织;显著改善症状;确切的肿瘤消退效果;以及卓越的局部控制率。


