图片展示
搜索
图片展示
图片展示

ky(中国)

阿尔茨海默病诊断新突破!3月6日ky启用国内首款Aβ-PET显像技术

来源: ky    发布时间: 2025-03-06 17:00:00   浏览量:   

图片

阿尔茨海默病(AD)是一种脑神经慢性不可逆性退行性病变,是严重影响老年生活质量的杀手。AD发展是一个连续的病理生理过程,在临床症状出现前的数十年,人脑就已产生了淀粉样β蛋白沉积等特异性的病理学改变。
联合使用药物、非药物治疗和细心护理等,可以减轻症状但不能延缓病情发展。2024年12月18日,清除淀粉样蛋白斑块的靶向药物获得中国国家药品监督管理局批准,用于治疗成人AD引起的轻度认知功能障碍和阿尔茨海默病轻度痴呆,点亮了AD患者的希望之火。但是,靶向治疗对晚期患者改善不够显著。所以,早发现早治疗是AD治疗的关键,也是目前存在的重大难题。

国内首款Aβ-PET显像剂


图片
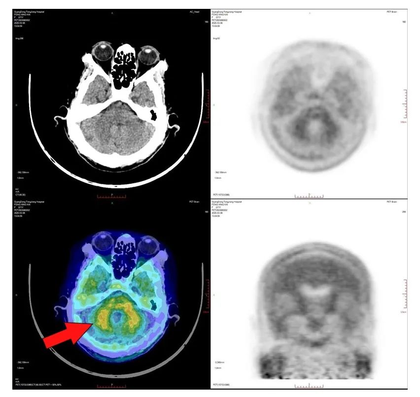
2025年3月4日,国内首款Aβ-PET显像剂获得批文,使得β-淀粉样蛋白正电子发射断层扫描技术早期诊断AD成为现实。该技术可以“锁定”患者脑内的致病蛋白沉积,可以在症状出现前10-15年前精准诊断AD,还可用于靶向治疗的疗效监测,解决了早发现早治疗AD的关键性难题。

图片

图片

佛山首批

图片
图片
图片
图片
图片


2025年3月4日,ky获批β-淀粉样蛋白正电子发射断层扫描技术。3月6日早上,临床诊断为阿尔茨海默病的冯阿姨,成为佛山首批接受该项检查的患者。周思朗副院长、核医学科周世辉主任、神经内科董晓莉主任、老年科丘伟贤主任和设备技术专家一起,顺利完成了β-淀粉样蛋白正电子发射断层扫描。ky还安排了高质量的远程会诊,让首批病例的报告质量达到了行业的高水平。
图片

图片

Aβ-PET检查,患者仅需静脉注射微量放射性显像剂,等待90分钟后,20分钟可完成全身扫描。该技术高效无创,通过图像量化脑内淀粉样斑块的分布与浓度,进行精准诊断和病情评估。

飞利浦PoleStar m680 PET/CT


图片
图片






END





图片展示

版权所有 © 2025:ky

地址:广东省佛山市顺德区南国东路东延线1号

技术支持: 百川网络     备案号:粤ICP备14009540号     

服务号

预约挂号 门诊缴费
就诊信息 服务指南
检验检测 报告查询

订阅号
医院公告 新闻发布
医疗技术 科普信息
健康资讯 义诊活动

视频号

直播回放 视频动态

互联网医院

网上问诊 复诊续方

送药到家 健康咨询

图片展示

版权所有 © 2025:ky

地址:广东省佛山市顺德区南国东路东延线1号

技术支持: 百川网络     备案号:粤ICP备14009540号     

服务号

预约挂号 门诊缴费
就诊信息 服务指南
检验检测 报告查询

订阅号
医院公告 新闻发布
医疗技术 科普信息
健康资讯 义诊活动

视频号

直播回放 视频动态

互联网医院

网上问诊 复诊续方

送药到家 健康咨询

添加微信好友,详细了解产品
使用企业微信
“扫一扫”加入群聊
复制成功
添加微信好友,详细了解产品
我知道了