【技术前沿】微创精准除病肾,67岁阿姨告别多年腰腹痛
来源: ky 发布时间: 2025-07-29 18:44:00 浏览量:
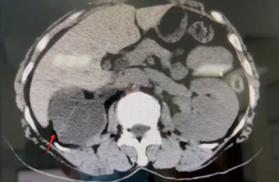
近日,我院泌尿外科团队成功为一位饱受多年右侧腰腹部疼痛困扰的67岁患者(化名:李阿姨),实施了高难度、高精度的腹腔镜下右肾切除术。手术过程顺利,患者恢复良好,术后第4天即康复出院。 李阿姨长期遭受右侧腰腹部的疼痛困扰。来院就诊后,泌尿外科蒋勇军主任详细询问病史得知,她曾因右侧肾结石接受过手术治疗。进一步的系统检查(包括下腹部CT平扫和CT尿路成像)揭示了问题根源:患者右侧肾脏存在严重肾积水,肾实质已极度萎缩、变薄,功能完全丧失。影像学显示,在排泄期长时间观察下,右肾已无显影,确认其功能完全丧失。 蒋主任分析认为,患者既往的结石病史可能导致输尿管狭窄或闭锁,引发了长期的尿路梗阻和肾积水,最终造成右肾不可逆的萎缩。而萎缩肾脏可能存在的炎症,正是其持续疼痛的原因。 面对患者切除无功能病肾的诉求,蒋勇军主任团队经过严谨评估,决定迎难而上,采用腹腔镜微创技术实施右肾切除术。该手术属于最高难度的四级手术,对医院综合实力和主刀医生的技术要求极高。手术面临两大挑战: 1、组织粘连重:萎缩的肾脏因继发炎症,与周围组织形成致密粘连,分离难度大。 2、血管处理难:萎缩肾脏的血管结构不清、纤细且被纤维组织包裹,解剖分离需极其精准,稍有不慎易损伤邻近重要血管和器官。 6月17日,手术如期进行。术中腹腔镜视野下,可见患者右肾萎缩呈“皮囊样”,肾实质薄如纸片,与周围组织粘连紧密,肾血管结构不清。蒋勇军主任团队凭借丰富的腹腔镜操作经验和精湛的解剖技巧,如同精雕细琢般,仔细分离粘连组织,精准处理纤细的肾血管及输尿管,最终完整、安全地切除了病变右肾。手术历时约3小时,顺利完成。 术后病理检查结果证实为“肾萎缩”,与术前诊断完全一致。在泌尿外科医护团队的精心治疗和护理下,李阿姨恢复迅速,疼痛解除,术后第4天即满意出院。出院前,蒋主任特别叮嘱她:务必保护好唯一的左肾,定期复查泌尿系统,发现异常及时就医处理。



