图片展示
搜索
图片展示
图片展示

ky(中国)

20年养出8厘米“肾脏巨石”,同江三次精细手术成功清除!

来源: ky    发布时间: 2025-09-25 18:00:00   浏览量:   

59岁的潘大叔(化名)患有肾结石已有20余年。此前,他曾在其他医院接受了右肾结石手术,而左肾结石更为复杂——最大直径达8厘米,呈铸型分布,形状如同“生姜”,几乎填满整个肾盂肾盏。



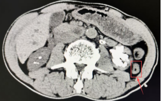
image.png


图:患者术前影像学检查


由于手术难度大、风险高,多家医院均表示难以彻底处理。最终,潘大叔在亲友推荐下,来到ky泌尿外科寻求帮助。




结石又大又硬,手术挑战极高


经检查,潘大叔的结石不仅体积大、分支多,硬度也极高,CT值最高达1829HU,属于临床上罕见的“极硬”结石,其硬度可与宝石级黄玉相媲美。加之结肠位置贴近肾脏,穿刺路径存在损伤风险,手术难度非常大。


面对这一复杂病例,泌尿外科蒋勇军主任团队制定了分期手术方案:先通过经皮肾镜清除肾盂和上极结石,再采用“经皮肾镜+输尿管软镜”双镜联合方式处理中下极结石。



三期手术精细配合,彻底清除结石


一期手术中,蒋主任团队精准避开结肠,建立碎石通道,运用弹道和激光技术连续碎石4小时,清除了大部分上极和肾盂结石。

image.png

图:患者术前影像学检查



二期手术由罗力教授与蒋勇军主任分别带队,采用斜仰卧位(“骑马射箭”体位),同步进行经皮肾镜与输尿管软镜联合碎石。双镜配合下,中下盏结石被基本清除。


image.png

罗教授、蒋主任分两组为患者实施“双镜”联合手术



三期手术则通过输尿管软镜对残留小结石进行彻底清理,避免后续梗阻风险。


经过三期精细手术,潘大叔左肾结石被完全取净,康复情况良好。




image.png


三期手术后检查显示已完全取净结石


科普

双镜联合,应对复杂肾结石


对于铸型结石,通常首选经皮肾镜手术。但若结石特别复杂、分散,则可采用“经皮肾镜+输尿管软镜”联合方案。经皮肾镜处理主体结石,软镜则灵活清理边角残留,二者结合既能提高清石率,也有助于保护肾功能。



END





图片展示

版权所有 © 2025:ky

地址:广东省佛山市顺德区南国东路东延线1号

技术支持: 百川网络     备案号:粤ICP备14009540号     

服务号

预约挂号 门诊缴费
就诊信息 服务指南
检验检测 报告查询

订阅号
医院公告 新闻发布
医疗技术 科普信息
健康资讯 义诊活动

视频号

直播回放 视频动态

互联网医院

网上问诊 复诊续方

送药到家 健康咨询

图片展示

版权所有 © 2025:ky

地址:广东省佛山市顺德区南国东路东延线1号

技术支持: 百川网络     备案号:粤ICP备14009540号     

服务号

预约挂号 门诊缴费
就诊信息 服务指南
检验检测 报告查询

订阅号
医院公告 新闻发布
医疗技术 科普信息
健康资讯 义诊活动

视频号

直播回放 视频动态

互联网医院

网上问诊 复诊续方

送药到家 健康咨询

添加微信好友,详细了解产品
使用企业微信
“扫一扫”加入群聊
复制成功
添加微信好友,详细了解产品
我知道了