罕见意外!男子切割钢管时,一粒芝麻大铁屑溅入“丁丁”
来源: ky 发布时间: 2025-10-25 17:34:00 浏览量:
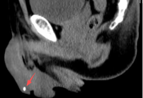
“当时就感觉钻心地疼,有出血,连尿尿都不顺畅。”回忆起事发时的情况,51岁工人卫大叔(化名)仍心有余悸。原来,他在工地切割钢管时,一粒飞溅出去的芝麻大铁屑,竟不偏不倚射入“丁丁”头部。在历经9小时、辗转两家医院后,卫大叔最终在ky通过手术成功取出这枚铁屑。 图:从患者“丁丁”头内取出的铁屑 意外突袭:芝麻大铁屑穿透衣裤,精准射入敏感部位 结合卫大叔的描述、临床症状及影像学检查,接诊医生大概还原了意外过程:他在切割钢管时,一枚飞溅出来的铁屑穿透工服、长裤和内裤,不偏不倚地正中“丁丁”头部。 从业数十年的老医生都感叹,“一粒小小的铁屑,居然像子弹一样能连续穿透3层衣裤,且不偏不倚射入敏感部位,这确实比较罕见”。 影像检查中可见患者“丁丁”组织内的金属异物 就医受阻:铁屑深埋海绵体,辗转就医仅做应急处理 由于铁屑嵌于阴茎海绵体内,该组织血运丰富、结构精细,钳取异物操作不太容易,当天正好是周末,大叔先后辗转两家医院,都仅进行了止血和抗感染处理,未尝试取出异物。此时距离意外发生已过去近9小时,由于铁屑嵌入“丁丁”内,他总感觉隐痛不适,还是希望能早点取出。 医生手术中 精准施救:5毫米小切口定位取铁屑 为求进一步治疗,经人介绍,卫大叔来到ky泌尿外科寻求治疗。经影像学检查可清晰地看到一枚铁屑嵌在患者龟头里面,泌尿外科主任蒋勇军分析认为,虽然该区域血管密集,但是准确定位、小心处理,还是可以取出来的。 手术时,蒋勇军主任发现患者“丁丁”处伤口已闭口,仅可见一小红点,于是沿小红点纵向切开约5毫米,小心探查至海绵体组织约5毫米深处,顺利找到铁屑并钳出,由于伤口极小,术后第二天卫大叔就顺利出院了。 人体组织内遗留异物是否需要取出,取决于异物的类型、位置、大小、是否引发症状及潜在风险等问题,不能一概而论。 蒋勇军主任指出,为避免继发感染、疼痛不适等问题,人体组织内最好尽量取出,但细小的金属异物在疏松的组织内,往往比较难找到或取出,让其存留在组织内也可能影响不大。然而在这个病例中,异物在“丁丁”头部这种敏感部位,还是建议取出为好。

